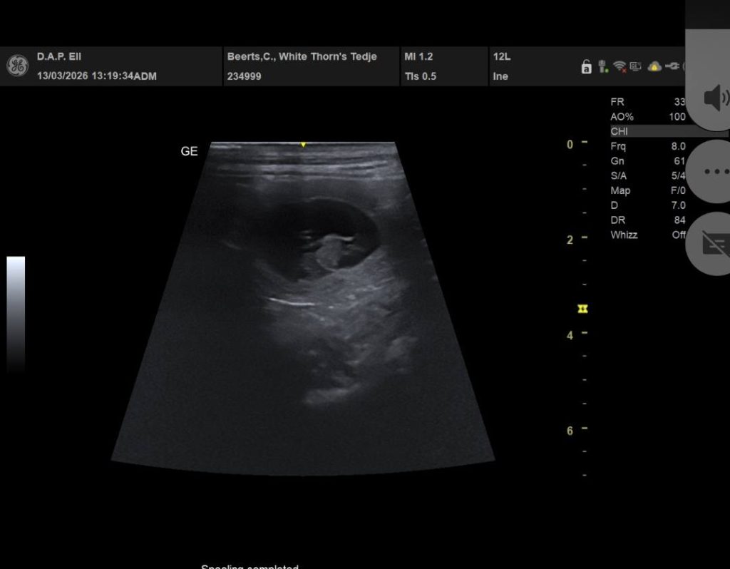
DE pups van Tedje en Moos worden rond 18 April verwacht.
Voor beide is het hun eerste nestje. WE zijn zeer benieuwd wat het gaat worden.

DE pups van Tedje en Moos worden rond 18 April verwacht.
Voor beide is het hun eerste nestje. WE zijn zeer benieuwd wat het gaat worden.

Tedje ziet er zo lief uit.
Ik weet zeker dat ze een goede moeder zal worden/zijn.